16/03/2017
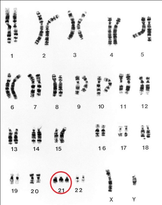
Down syndrome chromosome

Một số hoạt động kỉ niệm ngày Hội chứng Down Thế giới (World Down Syndrome Day)

Nhân dịp ngày Hội chứng Down Thế giới 2017 (World Down Syndrome Day) sắp đến, ngày 21 tháng 3 năm 2017, Viện Di truyền y học phối hợp cùng với Khoa Răng Hàm Mặt của trường Đại học Quốc tế Hồng Bàng và Khoa Y tế Công cộng của trường […]
12/08/2016
DOWN

The aging of the population with Down syndrome is a positive sign

  My sister, Kristin, and I grew up splashing together in swimming pools, delighting in ice cream cones, and singing along to movie musicals. We were very much alike, with what we saw as a small difference: She was born with Down syndrome and I wasn’t. We’ve grown together into […]
12/08/2016
Scientific (or Medical)  experiment

You may have more control over aging than you think, say ‘The Telomere Effect’ authors

Molecular biologist Elizabeth Blackburn shared a Nobel Prize for her research on telomeres — structures at the tips of chromosomes that play a key role in cellular aging. But she was frustrated that important health implications of her work weren’t reaching beyond academia. So along with psychologist Elissa Epel, she […]
12/08/2016
2016-2017

10 stories that are key to understanding 2017

ALEX HOGAN/STAT By DAVID BEARD DECEMBER 29, 2016   From the spread of Zika virus to a nasty dispute over the gene-editing technology CRISPR, 2016 has been a fascinating year for science and medicine. But past is also prologue, and a look back at some of this past year’s STAT coverage […]